Причини утворення каменів в нирках
Сечокам’яна хвороба (СКХ) – це симптоматичне захворювання, викликане порушенням обміну речовин в організмі, що супроводжується утворенням каменів в сечових шляхах. Середній ризик утворення каменів протягом життя складає 5-10%.
До основних факторів, що призводять до виникнення СКХ можна віднести:
- Першим і найвагомішим фактором є недостатня кількість рідини що споживає людина (кількість сечі протягом доби має складати не менше ніж 1,5-2 літри.)
- Споживання людиною одноманітної їжі протягом тривалого часу (раціон має бути різноманітним і складатись з білків, жирів і вуглеводів).
- Спадковість (якщо Ви маєте серед близьких родичів СКХ, ризик виникнення СКХ у Вас зростає в рази).
- Інфекція в органах сечостатевої системи (дуже часто інфекція протікає безсимптомно і не викликає у людини жодних неприємних відчуттів, проявляючи себе лише збільшенням кількості лейкоцитів в загальному аналізі сечі).
- Ендокринні порушення обміну мікроелементів в організмі.
- Малорухливий спосіб життя.
Все вище перераховане є лише основними факторами і в жодному разі не стовідсотковою причиною росту каменів. Дуже часто
людина маючи всі ці фактори не має каменів і навпаки. Що робити щоб камені в нирках не утворювались?
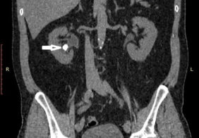
Камені в нирках чи сечоводі
Основні симптоми:
Нудота
Присутня у більшості пацієнтів, але не у всіх
Біль у спині
Тупий ниючий біль в правій чи лівій поперековій ділянці , який не залежить від положення тіла, пацієнт не може знайти собі місця для полегшення
Блювання
Мало хто знає що цей симптом може бути пов’язаний з нирками , тому часто починають шукати зовсім інші хвороби
Різкі болі внизу живота
Можуть бути пов’язанні з сечовипусканням, або болючими позовами, різями, іноді проводяться в статеві органи.
Червона сеча
Дуже важливий симптом при появі якого треба обов’язково звернутись до лікаря
Самостійне відходження
Дроблення
Видалення цілим
Дистанційне дроблення
Лазерне дроблення через уретру (сечовипускний канал)
Черезшкірне дроблення mini ПНЛ
по лікуванню сечокам'яної хвороби
Біль при каменях у нирках і як його позбутись
Для розуміння причин погіршення вашого стану треба знати основне правило – сам по собі камінь в нирці не створює невідкладної
ситуації, основні проблеми виникають тоді, коли камінь порушує відток сечі з порожнин нирки і стає причиною запального процесу.
Думка людей, що камінь щось «царапає» чи вростає в нирку переважно є хибною. Камінь в нирці дійсно є осередком хронічної інфекції
і може викликати неприємні відчуття в поперековій ділянці . В більшості випадків камінь, що вільно лежить в порожнині нирки
виявляють під час УЗД нирок, або виходячи з наявності підвищеної кількості лейкоцитів та еритроцитів в аналізі сечі.
Рішення стосовно лікування таких каменів приймається індивідуально для кожної людини, виходячи з розмірів конкремента та клінічної
картини. Поки камінь не створив порушення відтоку сечі, для пацієнта доступні консервативні методи лікування: такі як цитратні суміші.
Переваги роботи з нами
Ми підбираємо метод видалення каменю з нирок з урахуванням вашої індивідуальної ситуації
шукаючи найменш травматичний але найбільш ефективний шлях
Лікуємо за призначенням
Проводимо лікування якщо воно Вам не протипоказано
Хірургія одного дня
Ви повертаєтесь до повсякденного життя вже на наступний день
Ціни на лікування
Ви чітко розумієте скільки коштуватиме лікування
Безпека та комфорт
Забезпечуємо Вам максимальну безпеку і комфорт під час лікування
Призначення ліків
Не призначаємо непотрібні Вам ліки та обстеження
Приклади пацієнтів
Дроблення коралоподібного каменя через 5 мм. прокол на шкірі
Камінь нижньої чашки 1,8 см.
Камінь миски 2,8 см
Лікування коралоподібного каменю 1 ступеню право, нирки
Наші спеціалісти

Камінський Валерій
Лікар-уролог

Липівський Григорій
Лікар-уролог

Лєнська Оксана
Медична сестра

Левченко Вероніка
Урологічна медична сестра
